专业 · 权威 · 贴心的医疗健康服务

康瑞医疗丨喝水这件小事,竟能让CT检查效果翻倍

去医院做腹部 CT,临床医生千叮咛万嘱咐:检查前别吃别喝!可到了 CT 室,医生却画风一转,让你抱着水杯吨吨吨,一大杯水下肚,肚子都快被撑圆了。这一前一后的反差,是不是直接把你干懵圈了?别急,北京康瑞医学影像诊断中心今天就和您唠唠这背后的门道。

咱肚子里的脏器那可多了去了,大部分还都属于消化系统,有像胃、肠这样的空腔脏器,也有肝、脾这类实质脏器。这些脏器凑在一块儿,缺乏天然对比,要是直接拍 CT,就好比一群穿着相似衣服的人站在一块儿,在 CT 图像里,腹腔内的结构根本没法清晰分辨,医生看了也是一头雾水,想诊断病情,那可太难了。

这时候,水就闪亮登场啦!它堪称天然对比剂界的 “扛把子”,往肚子里一灌,就能让组织与周围结构的对比度瞬间 “拉满”。医生看起病来,就跟开了 “高清模式” 似的,更准确。

另外,水还能让胃肠道像气球一样充分膨胀起来,胃肠道里面的结构,比如有没有长异物、有没有肿瘤,都能被医生看得清清楚楚。同时,喝水还能把胃肠道里的气体 “赶跑”。要知道,气体在 CT 图像里可是个 “捣乱分子”,它会干扰成像,导致图像质量大打折扣,医生一不小心就可能误诊或者漏诊。水把气体 “赶走” 后,图像质量立马蹭蹭往上涨,诊断结果自然更靠谱。

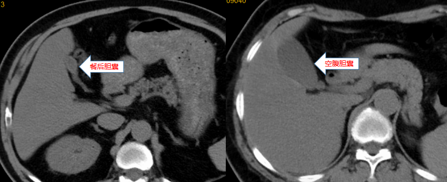
在进行CT检查时,如果要求患者空腹,通常是要进行肝脏、胆囊、胰腺等腹部的检查。其他部位,如头部、肺部、脊柱、四肢等检查,可以不受进食影响。

腹部CT检查前,通常需要患者空腹4-6小时以上。这是因为一旦进食,胆囊就会排空胆汁,对食物进行消化,导致胆囊充盈度不高,不利于观察病变情况,而空腹情况下能使胆囊充盈,让病变一目了然。此外,胃肠道里内存在积食也容易引起伪影,影响图像诊断的准确性。

说到这儿,大家肯定好奇,到底要喝多少水,啥时候喝才合适呢?

这份CT室“喝水指南”请您收好!

时间控制

01上腹部CT

检查前20分钟喝500-1000ml,临上机器再补300-500ml冲刺一下!

02盆腔CT

提前1小时开始喝,边喝边憋尿(膀胱充盈度决定图像清晰度!)

03全腹CT

慢慢喝,不要着急——1小时内分6次喝完2000ml(相当于4瓶矿泉水) 。

04最佳选择

37℃温水(冰水刺激肠胃,热水可能烫伤)

05禁忌饮品

牛奶饮料(会干扰图像)、气泡水(制造伪影的“元凶”)

不过,这里得给大家提个醒,可不是所有腹部检查都得喝水。像急性胰腺炎、胃肠道穿孔、肠梗阻这些危急重症患者,就千万别喝水,得赶紧检查,一秒钟都不能耽误,不然病情恶化,后果不堪设想。还有些特殊情况,比如不能配合的神经系统疾病、精神类疾病患者,婴幼儿患者,临床医师特别交代不看胃肠道的患者(像肝脏怀疑转移瘤患者、胃肠道短期术后患者),医嘱禁食水患者,以及喝水会呛咳、严重食道狭窄患者等,都不需要在检查前喝水。

所以啊,做腹部 CT 检查前,听医生的话乖乖喝水,是为了让检查结果更准确,给自己的健康多一份保障。下次再遇到这种情况,可别再满脸疑惑,不情不愿啦,痛痛快快喝起来,让医生能更好地 “看透” 你的肚子,早日揪出健康隐患!