专业 · 权威 · 贴心的医疗健康服务

康瑞医学丨大脑里的 “隐形警报”:这项神奇检查如何揪出阿尔茨海默病?​

阿尔茨海默病(AD),也就是常说的老年痴呆,是最常见的痴呆类型。我国是痴呆人数最多的国家,65 岁以上人群中,痴呆发生率超 5%,其中 AD 占比超 50%,患者人数超 700 万。
AD 分为临床前阶段(SCD)、轻度认知障碍阶段(MCI)和痴呆阶段。前两个阶段症状不明显且发展缓慢,早期诊断十分困难,导致 AD 虽患病率高,但就诊、诊断和治疗率却很低。目前主要依靠临床综合评估诊断 AD,常用的神经心理学量表筛查认知功能,准确性和客观性不足。研究发现,大脑皮层 Aβ(淀粉样前体蛋白)沉积比 AD 临床症状出现早 15 – 20 年。2023 年发布的《淀粉样蛋白 PET 显像在阿尔茨海默病 (AD) 诊断中的应用专家共识》,将 PET(18F-AV45)成像技术,推荐并规范为 AD 诊断、鉴别诊断和疗效监测的重要指标,这对 AD 早期诊断与临床干预意义重大 。下面,康瑞医学带您看一个研究案例。

科研分享
Aβ(18F-AV45)PET脑成像,通过正电子核素标记的示踪剂实现脑内Aβ沉积的活体可视化,在分子水平无创定位、高准确度地评估阿尔茨海默病患者脑内Aβ蛋白沉积情况。案例:男,74岁。

主诉:近期记忆力差2年,逐渐加重。

检查目的:临床诊断阿尔兹海默症,现进一步检查。

检查前准备及操作技术
1.无需禁食;抗-Aβ药物检查前停用12小时,其他无需停药;保持生理状态稳定。2.显像剂:18F-AV45注射剂量10 mCi;(或按体重注射剂量0.1~  0.2mCi/kg )。注射显像剂60min后头部采集时间20min。

PET图像判读方法
临床工作中AβPET图像判读以视觉优先,半定量分析作为参考。半定量法:在7个脑区(分别为额叶、顶叶、颞叶、楔前叶、后扣带回、枕叶、小脑)测量SUVmax,以小脑为参考,计算出SUVr值。)阳性定义为大脑灰质Aβ示踪剂摄取增高,大脑灰白质对比度下降;阴性定义为大脑灰质无或很少Aβ示踪剂摄取,仅有非特异性摄取。

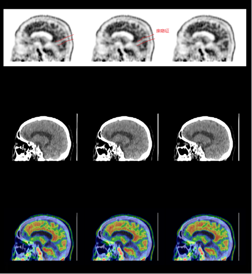
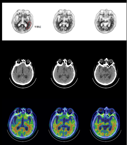
18F-AV45PET图像

     

 ▲冠状位可见“夏树征”

▲横断位颞枕叶可见“平原征“

▲  矢状位可见“亲吻征”

▲矢位图

▲冠位图

▲轴位图

AβPET(18F-AV45)图像判读结果
大脑皮质内弥漫性放射性摄取增高,灰白质分界不清,以双侧额叶、顶叶、颞叶、后扣带回等脑区为明显。额叶皮质SUVmean:2.0,顶叶皮质SUVmean:1.54,颞叶皮质SUVmean:1.78,后扣带回SUVmean:1.78,枕叶皮质SUVmean:2.28,小脑皮层SUVmean:0.88。大脑皮质 Aβ(β-淀粉样蛋白)异常沉积,考虑Aβ PET显像阳性。
专家共识
2023 年,《淀粉样蛋白 PET 显像在阿尔茨海默病 (AD) 诊断中的应用专家共识》重磅发布,明确将 PET 成像技术纳入 AD 诊断、鉴别诊断与疗效监测的重要指标,这一规范为 AD 诊疗带来新突破,尤其在 早期诊断 方面意义深远!早期!早期!早期! 抓住 AD 早期诊断黄金期,对后续干预治疗至关重要。不过,需要明确的是,Aβ PET 成像虽作用关键,但 Aβ 阳性只是诊断 AD 的 必要不充分条件 。脑内 β- 淀粉样蛋白沉积阳性,意味着进入 AD 病理状态,而淀粉样蛋白 PET 若呈现阴性结果,则能有效帮助排除 AD。

核医学成像技术,特别是 Aβ PET 成像,已成为刻画 AD 特征的前沿手段。相较于传统诊断方式,它在鉴别 AD 病理变化上,有着特异性更强的显著优势,甚至能在临床症状出现前,就精准识别出 AD 相关病理特征。

由于 AD 临床表现常与其他痴呆病理重叠,仅靠症状难以准确分类。正因如此,借助 Aβ PET 成像尽早识别 AD 病理变化,对痴呆患者进行精准分类,才能实现针对性治疗,为患者争取更好的预后。